«جونگکوک» یکی از اعضای گروه کُرهای BTS در مراسم افتتاحیه جام جهانی ۲۰۲۲ اجرا خواهد داشت.
مردم اقصی نقاط جهان که بازیهای ورزشی را مشاهده میکنند؛ رژیمهای سیاسی و حقوق اساسی هر کشور را به دقت نمیشناسند. اما…
علیرضا دبیر میگوید کشتیگیرانی که در فینال جام جهانی مقابل آذربایجان شکست خوردند، بدلیل باخت انفرادی که داشتند، شادی ن…
معاون رئیس شورای امنیت روسیه اعلام کرد که مسکو هنوز از زرادخانه خود به صورت کامل در عملیات نظامیاش در اوکراین استفاده…
در شرایطی که بحران آب بیش از همیشه گریبانگیر کشور شده، بخش کشاورزی با مصارف کنترلنشده و دور از منطق به این شرایط دامن…
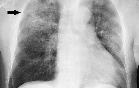
هر ساله در تاریخ ۱۲ نوامبر "روز جهانی ذاتالریه" گرامی داشته می شود.
سخنگوی کرملین امروز (جمعه) اعلام کرد، روسیه پس از آنکه به اهداف خود برسد، میتواند به عملیات نظامی ویژهاش در اوکراین…
بازیکنان بزرگ زیادی هستند که در مهمترین رویداد فوتبالی جهان به دلایلی در زدن گل ناکام ماندند.
سخنگوی دولت با بیان اینکه دشمن از اندیشیدن نخبگان و دغدغهمندی آنان نسبت به مسائل کشور ترس دارد، گفت: کلید حل مشکلات…
با پیگیریهای فدراسیون بوکس ایران، ویزای اسپانیا برای ملی پوشان تیم جوانان صادر شد.